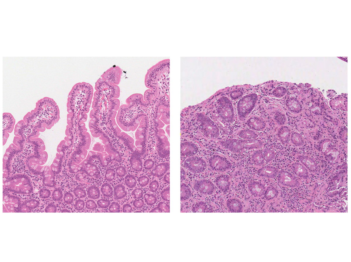
Scientists at the University of Cambridge have developed a machine learning algorithm which can look at patient biopsies to identify if the patient has coeliac disease. The system has the potential to speed up rates of diagnosis and take pressure off strained healthcare services.
“Current clinical guidelines recommend that a duodenal biopsy is required to accurately diagnose coeliac disease in most adults. Once diagnosed patients can begin a gluten free diet which is currently the only known treatment for the condition. However, it is vital that patients keep gluten in the diet during the diagnostic process to ensure that the diagnosis is accurate. If gluten is removed from the diet, patients may receive a false negative result, but continuing to consume gluten during the diagnostic process can cause uncomfortable symptoms in patients who have coeliac disease. That’s why it’s really important that patients are able to receive an accurate diagnosis as quickly as possible.
Emerging research demonstrates one potential way to speed up part of the diagnosis journey for many people who could be living with coeliac disease. We are proud to have funded early research which focused on developing an artificial intelligence system that was able to differentiate between healthy control biopsies and biopsies of patients with coeliac disease. We’re delighted that following the success of this pilot work, the research team managed to secure funding to further refine the intelligence of the system. We hope that one day it will be used to help patients receive a quick and accurate diagnosis” said Keira Shepherd from Coeliac UK’s Evidence and Policy Team.
The artificial intelligence tool has been trained on almost 3,400 biopsies and has been shown to be as accurate as human pathologists in diagnosing coeliac disease. The research team have recently published their work in the New England Journal of Medicine AI. You can read more here.
Dr Florian Jaeckle, Research Fellow at Hughes Hall, Cambridge and member of the research team said: “This is the first time artificial intelligence has been shown to diagnose as accurately as an experienced pathologist. This is an important step towards faster and more consistent coeliac disease diagnosis. Our next step is to test the algorithm in a much larger clinical sample and then share this device with regulatory bodies, bringing us nearer to this tool being used within the NHS.”